
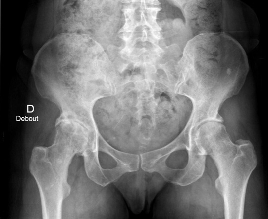
Coxarthrose
Destruction progressive du cartilage de l'articulation coxo-fémorale. Principale cause de remplacement prothétique de la hanche, elle entraîne douleurs mécaniques, raideur et limitation fonctionnelle.
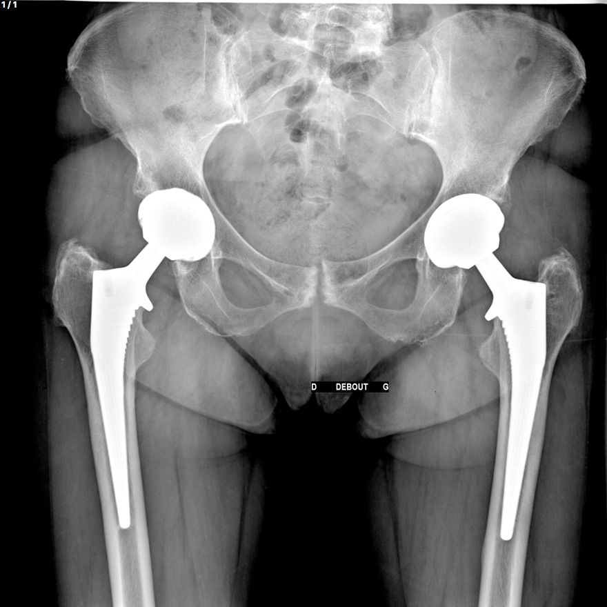
Prothèse totale de hanche (PTH)


Hanche & Genou
↓ Défiler pour explorer
Chirurgie de la Hanche
Prothèses totales de hanche, ostéotomies fémorales, ostéosynthèse : le Dr. Vialla maîtrise toute la palette chirurgicale pour traiter les pathologies de la hanche à tous les stades et tous les âges.

Anatomie
Articulation coxo-fémorale
Rappel Anatomique
La hanche est une articulation sphéroïde (énarthrose) unissant la tête sphérique du fémur à la cavité acétabulaire du bassin. Elle autorise des mouvements dans les trois plans de l'espace : flexion-extension, abduction-adduction et rotation.
L'acétabulum est approfondi par le labrum — bourrelet fibrocartilagineux — qui augmente la congruence articulaire et la stabilité passive. La tête fémorale est vascularisée principalement par l'artère circonflexe postérieure, dont l'interruption conduit à la nécrose avasculaire.
L'articulation est renforcée par une capsule épaisse et de puissants ligaments (ilio-fémoral, pubo-fémoral, ischio-fémoral) qui en font une articulation naturellement stable.
Type
Énarthrose (3 axes)
Labrum
Fibrocartilagineux
Vascularisation
A. circonflexe post.
Amplitude
Flex. 120° / Ext. 20° / ABD 40° / ADD 30°
Pathologies

Destruction progressive du cartilage de l'articulation coxo-fémorale. Principale cause de remplacement prothétique de la hanche, elle entraîne douleurs mécaniques, raideur et limitation fonctionnelle.
Prothèse totale de hanche (PTH)

Anomalie morphologique de la tête fémorale (type came) ou du rebord acétabulaire (type pince) générant un accrochage mécanique douloureux, source de lésions cartilagineuses et labrales.
Ostéoplastie

Interruption de la vascularisation de la tête fémorale conduisant à sa nécrose osseuse. Peut survenir après traumatisme, corticothérapie prolongée ou alcoolisme chronique.
Vissage, ostéotomie, ou PTH selon le stade

Malformation congénitale ou développementale de l'acétabulum qui ne couvre pas suffisamment la tête fémorale, entraînant une instabilité et une arthrose précoce.
Ostéotomie fémorale

Fréquente chez les patients âgés ostéoporotiques après chute. Urgence chirurgicale dont le traitement dépend du déplacement, de l'âge et de l'état général.
Ostéosynthèse ou prothèse
Chirurgies
Pourquoi opérer ?
Arthrose avancée de la hanche avec cartilage irrémédiablement détruit.
L'opération
Incision à l'avant de la hanche, les muscles sont simplement écartés (non coupés), ce qui assure une très bonne stabilité et une récupération rapide. Aucun mouvement interdit après l'opération. Durée : 1 heure. Hospitalisation : 0 à 2 jours.
Récupération
Risques principaux
Hématome, infection (< 1 %), luxation de prothèse (< 1 %), phlébite, lésion nerveuse.
Résultats attendus
Disparition rapide des douleurs. Durée de vie : 20 à 25 ans. Vélo, natation, golf autorisés.

Pourquoi opérer ?
Même indication que la voie antérieure : arthrose de hanche avancée.
L'opération
Incision à l'arrière de la hanche, technique la plus utilisée au monde. Certains muscles sont coupés puis réparés. Excellente exposition chirurgicale, adaptée aux hanches complexes, reprises prothétiques ou patients obèses. Durée : 1 heure. Hospitalisation : 1 à 3 jours.
Récupération
Risques principaux
Identiques à la voie antérieure : hématome, infection (< 1 %), luxation (< 1 %), phlébite, lésion nerveuse.
Résultats attendus
Identiques à la voie antérieure. Durée de vie : 20 à 25 ans.

Pourquoi opérer ?
La prothèse se descelle (bouge par rapport à l'os) à cause de l'usure, d'une infection chronique ou de luxations répétées.
L'opération
Remplacement de la ou des pièces défaillantes. Si l'os est très abîmé, une greffe osseuse peut être nécessaire. En cas d'infection : délai de 6 semaines entre l'ablation et la réimplantation possible. Durée : 2 à 3 heures. Hospitalisation : 3 à 5 jours.
Récupération
Risques principaux
Infection (5 à 10 %), hématome, phlébite, luxation, fracture, inégalité de longueur des jambes.
Résultats attendus
Bonne récupération dans la majorité des cas. Durée de vie : 15 ans.

Pourquoi opérer ?
Fractures du fémur proximal (col fémoral, massif trochantérien) chez les patients jeunes ou fractures peu déplacées, permettant de préserver la tête fémorale.
L'opération
Fixation interne par vis cannulées, clou gamma ou lame-plaque selon le siège et le type de fracture. Prise en charge en urgence chirurgicale.
Récupération
Risques principaux
Nécrose avasculaire de la tête fémorale, pseudarthrose, infection.
Résultats attendus
Consolidation en 3 à 6 mois selon le type de fracture.

Focus
La PTH est l'une des interventions chirurgicales les plus efficaces et les plus étudiées en orthopédie. Elle restaure une articulation indolore avec une durée de vie implantaire de 15 à 20 ans en moyenne.
Le choix de la voie d'abord (postérieure, antérieure de Hueter, ou de Röttinger) et du type d'implant (cimenté, non cimenté, hybride) est individualisé selon l'anatomie, l'âge et l'activité du patient.
Le protocole de Récupération Améliorée Après Chirurgie (RAAC) permet une mise en charge dès le jour de la chirurgie et un retour à domicile accéléré.

Consultation
Une consultation permet d'établir un bilan précis et de vous proposer la prise en charge la plus adaptée à votre situation.